Portfolio

  • ML
  • Computer Vision
  • Medical Imaging
  • Bio Medical Signal
  • Natural Language Processing
Multi task Auto annotations and labeling platform

Computer Vision Project

Multi-task Automate Annotation Platform

Multi-Modal-modality Vision-Language-Models Deep Learning ComputerVision
Multi-Class Classification on Sport100

Computer Vision Project

Multi-Class Classification on Sport100 Dataset with 97% accuracy

Transfer Learning Deep Learning CNN OpenCV
Human pose estimation and tracking for self-coaching

Computer Vision Project

Pretrained Model MediaPipe OpenCV Streamlit

Human pose estimation and tracking for self-coaching

Virtual Emotion Detection Using YOLO

Computer Vision Project

YOLO OpenCV

Virtual Emotion Detection Using YOLO

Multi-Class Classification on CIFAR-100 Using Transfer Learning

Computer Vision Project

Transfer Learning Deep Learning Resnet OpenCV

Multi-Class Classification on CIFAR-100 Using Transfer Learning

Real-Time Instance Segmentation Using YOLOv8

Computer Vision Project

Real-Time Instance Segmentation Using YOLOv8

MNIST Image Generation Using GAN Model

Computer Vision Project

MNIST Image Generation Using GAN Model

CIFAR-10 Multi-Class Classification Using YOLO and Custom CNN

Computer Vision Project

CIFAR-10 Multi-Class Classification Using YOLO and Custom CNN

Real-time Object Detection Using YOLOv8 model

Computer Vision Project

Real-time Object Detection Using YOLOv8 model

Real-Time Facemesh Using Mediapipe Model

Computer Vision Project

Real-Time Facemesh Using Mediapipe Model

Virtual Mouse with MediaPipe Hand Tracking Model

Computer Vision Project

Virtual Mouse with MediaPipe Hand Tracking Model

Eye Glasses Recommendataion System

Computer Vision Project

Eye Glasses Recommendataion System

Alzheimer's Detection and Multi-Class Classification Using CNN and Pretrained Model

Medical Imaging Project

Alzheimer's Detection and Multi-Class Classification Using CNN and Pretrained Model

Medical MNIST Classification Resnext50(6Class Dataset)

Medical Imaging Project

Medical MNIST Classification Resnext50(6Class Dataset)

Pneumonia Classification Using Deep CNN

Medical Imaging Project

Pneumonia Classification Using Deep CNN

Skin Cancer Detection Using Transfer Learning

Medical Imaging Project

Skin Cancer Detection Using Transfer Learning and Pretrained Models

Binary Breast Cancer Detection on Mammogram Images Using Deep Neural Network Models

Medical Imaging Project

Binary Breast Cancer Detection on Mammogram Images Using Deep Neural Network Models

Covid19 Detection Using Pretrained Models

Medical Imaging Project

Covid19 Detection Using Pretrained Models

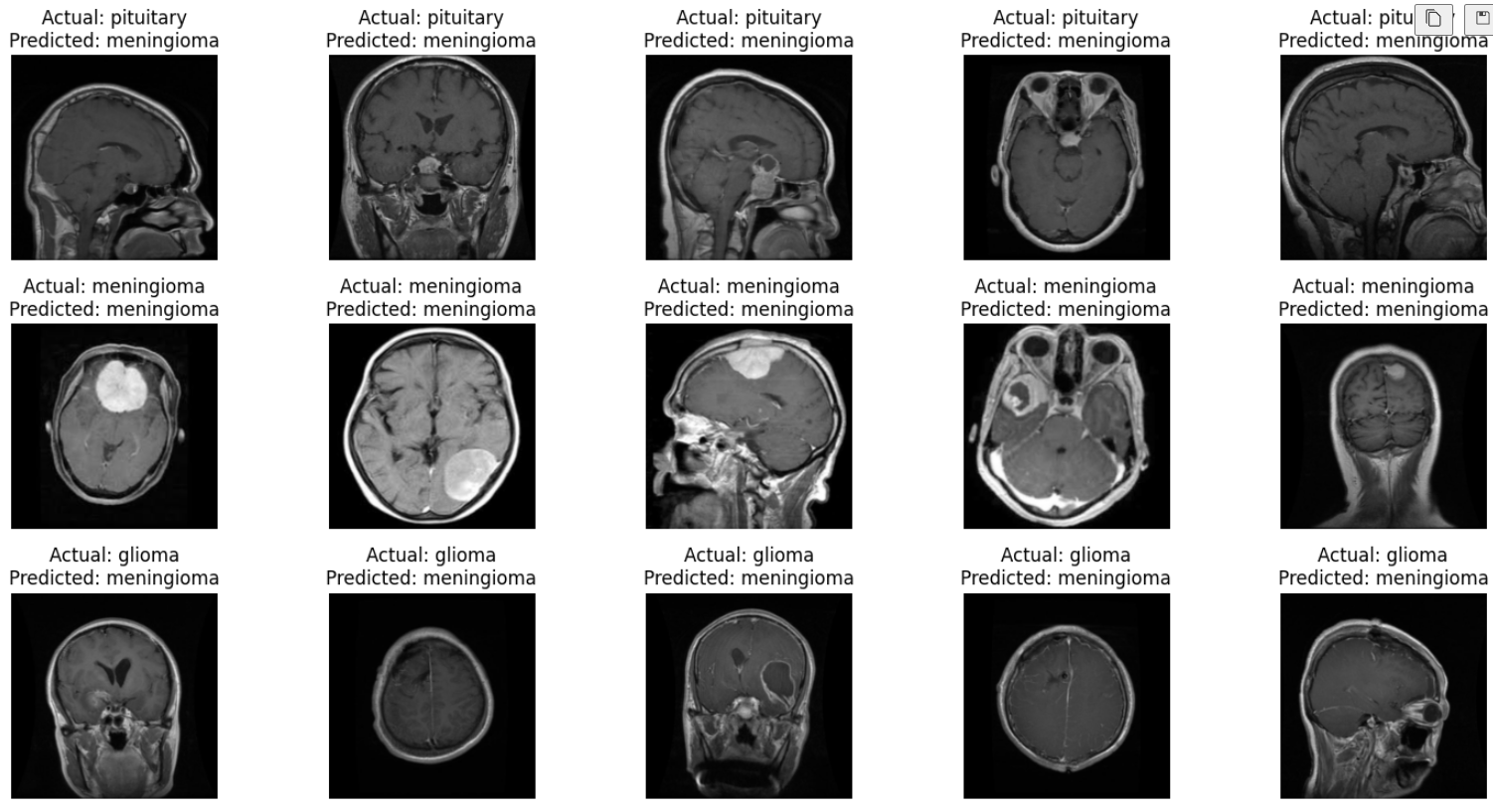
Brain Tumour Multi-Class Classification Using Custom CNN and Pretrained Models

Medical Imaging Project

Brain Tumour Multi-Class Classification Using Custom CNN and Pretrained Models

Diabetic Retinopathy Detection

Medical Imaging Project

Diabetic Retinopathy Detection

Knee Osteoarthritis Classification

Medical Imaging Project

Knee Osteoarthritis Classification

Binary Breast Cancer Classification Using MRI Images

Medical Imaging Project

Binary Breast Cancer Classification Using MRI Images

Electrone Particle Segmentation Using YOLO

Medical Imaging Project

Electrone Particle Segmentation Using YOLO

(BreaKHis Dataset)Histopatholagical images Binary Classification for Breast Cancer Detection

Medical Imaging Project

(BreaKHis Dataset)Histopatholagical images Binary Classification for Breast Cancer Detection

(BraCs Dataset)Histopatholagical images Multi-Class Classification for Breast Cancer Detection

Medical Imaging Project

(BraCs Dataset)Histopatholagical images Multi-Class Classification for Breast Cancer Detection

BreastCancer Detection Using ThermoGraphy Images

Medical Imaging Project

BreastCancer Detection Using ThermoGraphy Images

Sperm Morphology images Dataset Classification

Medical Imaging Project

Sperm Morphology images Dataset Classification

Brain Cells Slice Semantic Segmentation Fluorescence-Microscope-Images

Medical Imaging Project

Brain Cells Slice Semantic Segmentation Fluorescence-Microscope-Images

Sperm Colorized Images 3Class Dataset Classification

Medical Imaging Project

Transfer Learning Deep Learning CNN OpenCV

Sperm Colorized Images 3Class Dataset Classification

Analysis of biomedical signals for health monitoring

Bio Medical Signal Project

Transfer Learning Deep Learning CNN OpenCV

Analysis of biomedical signals for health monitoring

Hand Movement Recognition Using EEG Brainwave

Bio Medical Signal Project

Transfer Learning Deep Learning CNN OpenCV

Hand Movement Recognition Using EEG Brainwave

Hand Movement Recognition Using EEG Brainwave

Bio Medical Signal Project

EEG Signal Processing Spiking Neural Networks Transformer Attention Hybrid Deep Learning

Efficient Motor Imagary Decoding Using EEG brain Waves and Hybrid Deeplearning Based Methodes

Bitcoin Volatility Forecasting Using RNNs and Statistical Methods

ML Project

Transfer Learning Deep Learning CNN OpenCV

Bitcoin Volatility Forecasting Using RNNs and Statistical Methods

Heart Failure Predection Using ML & DL algorithms

ML Project

Transfer Learning Deep Learning CNN OpenCV

Heart Failure Predection Using ML & DL algorithms